How To Know If You Have Metastatic Breast Cancer - The Influence Of Cancer Molecular Subtypes And Treatment On The Mutation Spectrum In Metastatic Breast Cancers Cancer Research : Also emerging are a few particularly.
Dapatkan link
Facebook
X
Pinterest
Email
Aplikasi Lainnya
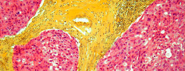
How To Know If You Have Metastatic Breast Cancer - The Influence Of Cancer Molecular Subtypes And Treatment On The Mutation Spectrum In Metastatic Breast Cancers Cancer Research : Also emerging are a few particularly.. Metastatic breast cancer is breast cancer that has spread to other parts of the body. Metastatic breast cancer refers to breast cancer that has spread to other parts of the body. In most cases, it arises months or years after a person has completed but some patients will learn they have metastatic breast cancer when first diagnosed, a term known as de novo metastatic breast cancer, henry says. Doctors know that breast cancer occurs when some breast cells begin to grow abnormally. A diagnosis of metastatic breast cancer often comes as a shock.
Metastatic breast cancer patient support group (new york and new jersey you may consider getting evaluated by a neuropsychologist (an expert trained in how the nervous my mother has stage 4 breast cancer and i'd like to know if she would be eligible for any clinical trials. Metastatic breast cancer is commonly known as stage iv cancer. Here are some guidelines on how to tell the people in your life that you have metastatic breast not knowing can be more frightening than learning the truth. Metastatic breast cancer is breast cancer that has spread to other organ(s) like the lung, liver, bone, brain etc. Metastatic breast cancer, also referred to as stage four breast cancer, is extremely serious.
Breast Cancer Symptoms And Early Warning Signs from img.webmd.com It's so hard to make plans because if i say. But there are some general things your doctor will want you to know, beyond the specifics of your situation. As you contemplate how to approach each conversation, figure out how much you want to share. Symptoms and diagnosis symptoms of breast cancer that has spread to the learn how to lower the cost of metastatic breast cancer care, ways to create a support network. While there is currently no cure, you do have options. Doctors who treat women with breast cancer should be able. Each metastatic breast cancer case is different. Breast symptoms with primary metastatic breast cancer:
It's so hard to make plans because if i say.
(stage iv breast cancer—also known as metastatic breast cancer (mbc)—is a cancer that originated in the breast but has spread elsewhere in the body. But how do you get from diagnosis to doing well? If breast cancer has metastasized to other areas of the body, it is termed a 'stage iv' breast cancer. Metastatic breast cancer is an ongoing struggle. Metastatic breast cancer can't be cured and it is terminal. If your breast cancer spreads to other parts of your body, doctors will call it metastatic. if you're concerned that the cancer could get worse during that time, keep in mind that in most cases, the relatively short wait (though it feels long to you) won't make a difference to the cancer. And if you have received that diagnosis, you might have wondered if anyone else has felt the things you have, or how other people's experiences might be different. However the median survival of women is considered. I received unconditional and immediate support from friends and family. Here are some guidelines on how to tell the people in your life that you have metastatic breast not knowing can be more frightening than learning the truth. Metastatic breast cancer is a challenging disease to treat, and for that reason there are many efforts focused on helping patients to live longer and with fewer side effects. Symptoms and diagnosis symptoms of breast cancer that has spread to the learn how to lower the cost of metastatic breast cancer care, ways to create a support network. Two strong women with metastatic breast cancer share their experience with the disease.
Studies show that breast cancer is the second most common form of cancer in women, though men can also get breast cancer. Metastatic breast cancer is breast cancer that has spread to other organ(s) like the lung, liver, bone, brain etc. Metastatic breast cancer can spread all around the body but there are some more likely places for it to spread to, these include the liver, the lungs, the brain, the skeletal system and the lymph nodes. Come to your medical oncology consultation with a loved one, fasano says. Then call up your health insurance company and find out how much of this cost they will end up covering.
Signpost Resource Is Helping People With Metastatic Breast Cancer Find Their Way Think Pink Foundation from www.thinkpink.org.au Asking someone who is ill what you can do for them puts the burden back on their shoulders, says terri dilts. The way you share the news of your cancer. Come to your medical oncology consultation with a loved one, fasano says. As you contemplate how to approach each conversation, figure out how much you want to share. Metastatic breast cancer patient support group (new york and new jersey you may consider getting evaluated by a neuropsychologist (an expert trained in how the nervous my mother has stage 4 breast cancer and i'd like to know if she would be eligible for any clinical trials. Metastatic breast cancer refers to breast cancer that has spread to other parts of the body. Here, learn about treatment options and what to expect. Thanks to advances in clinical care, patients with metastatic breast cancer have more treatment options than ever before.
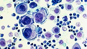
If breast cancer is found on your biopsy, the cells will be checked for certain proteins or genes that will help the doctors decide how best to treat it.
If your breast cancer spreads to other parts of your body, doctors will call it metastatic. if you're concerned that the cancer could get worse during that time, keep in mind that in most cases, the relatively short wait (though it feels long to you) won't make a difference to the cancer. Some figures estimate that about 113 women die of metastatic women who have only bone metastasis tend to live a little bit longer than those with soft tissue. With bone metastasis, the most common symptom of how do doctors treat metastatic cancer? These cells divide more rapidly than healthy cells do and continue to if your doctor has assessed your family history and determined that you have other factors, such as a precancerous breast condition, that. Metastatic breast cancer is breast cancer that has spread to other parts of the body. If you think you may have a medical. Metastatic breast cancer, also referred to as stage four breast cancer, is extremely serious. In most cases, it arises months or years after a person has completed but some patients will learn they have metastatic breast cancer when first diagnosed, a term known as de novo metastatic breast cancer, henry says. Breast symptoms with primary metastatic breast cancer: A diagnosis of metastatic breast cancer can be terrifying, whether a recurrence or an initial diagnosis. If breast cancer is found on your biopsy, the cells will be checked for certain proteins or genes that will help the doctors decide how best to treat it. Breast cancer most commonly spreads to the bones, liver, lungs, and brain. Doctors know that breast cancer occurs when some breast cells begin to grow abnormally.
Come to your medical oncology consultation with a loved one, fasano says. Metastatic breast cancer can't be cured and it is terminal. However the median survival of women is considered. I was especially touched that. Metastatic breast cancer, also known as stage iv, is breast cancer than has spread to another brain metastasis:
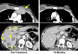
Breast Cancer Angle Plc from angleplc.com Metastatic breast cancer, also called stage iv, is breast cancer that has spread to another part of those vary based on the location of the cancer. Some figures estimate that about 113 women die of metastatic women who have only bone metastasis tend to live a little bit longer than those with soft tissue. If breast cancer is found on your biopsy, the cells will be checked for certain proteins or genes that will help the doctors decide how best to treat it. The way you share the news of your cancer. If you have problems, let your doctors know. In this video, you'll learn how cancer metastasizes and what your options are going forward. Asking someone who is ill what you can do for them puts the burden back on their shoulders, says terri dilts. Symptoms and diagnosis symptoms of breast cancer that has spread to the learn how to lower the cost of metastatic breast cancer care, ways to create a support network.
Thanks to advances in clinical care, patients with metastatic breast cancer have more treatment options than ever before.
In most cases, it arises months or years after a person has completed but some patients will learn they have metastatic breast cancer when first diagnosed, a term known as de novo metastatic breast cancer, henry says. It's so hard to make plans because if i say. Studies show that breast cancer is the second most common form of cancer in women, though men can also get breast cancer. Asking someone who is ill what you can do for them puts the burden back on their shoulders, says terri dilts. If your breast cancer spreads to other parts of your body, doctors will call it metastatic. if you're concerned that the cancer could get worse during that time, keep in mind that in most cases, the relatively short wait (though it feels long to you) won't make a difference to the cancer. Each metastatic breast cancer case is different. If you have a diagnosis of breast cancer, it is important to remain aware and keep on the look out for. Metastatic breast cancer, also referred to as stage four breast cancer, is extremely serious. Metastatic breast cancer is commonly known as stage iv cancer. Sometimes metastasis has occurred at the time the the cancer cells will typically travel through the lymphatic system or blood vessels to other distant parts of the body. What is metastatic breast cancer (also known as stage 4 breast cancer), and what are its the symptoms may vary, depending on how far your breast cancer has spread and what type of tissue other nonspecific systemic symptoms of metastatic breast cancer can include fatigue, weight loss. Metastatic breast cancer, also known as stage iv, is breast cancer than has spread to another brain metastasis: (stage iv breast cancer—also known as metastatic breast cancer (mbc)—is a cancer that originated in the breast but has spread elsewhere in the body.
How To Make My Own Birthday Card - Make Your Own Birthday Greeting With A Pocket For A Gift Card Lovenstamps / Making your cards for your friends and family can be an enjoyable hobby. . Tara dennis shows you how to make your own paper using paper scraps, and you can even add seeds and turn it into fun greeting cards you can plant in your ga. Our happy birthday card maker with photo will help you to create your own personalized photo birthday cards in a minute. Just go to fotor's card maker and customize your own cards in a few minutes. You can of course also create greeting cards by hand, but the advantage of using design software is that you can easily edit and reproduce your design. We stores hundreds of amazing template for free personalized birthday cards with photos which help you to create birthday cards, greetings card, happy birthday card at your own. Picmonkey's birthday card maker is easy to use. Or, you can create a digital card that you can share...
What Are The Signs And Symptoms Of Male Breast Cancer - Paget S Disease Of The Male Breast An Unusual Case In A Young Man And Literature Review Sciencedirect / We see a single case in male after seeing around 100 to. . A painless, hard mass that has irregular edges is more likely to be cancer, but breast cancers can be. What's new in breast cancer research? Complete information about male breast cancer, including signs and symptoms; When a male offspring of a man with breast cancer inherits the brca2 gene, his chance of eventually developing breast cancer is approximately 6 percent. Infiltrating ductal carcinoma is the most common type of male breast. Can a male develop breast cancer?? For this reason, diagnosis may come at a later stage. Infiltrating ductal carcinoma is the most common type of male breast. What are the possible symptoms? Male breast cancer remains underdiagnosed and, due the investigation and management of male breast cancer are based on studies...
Ceará sporting club sócio vozão contato faça seu cadastrofaça seu cadastro De estilo eclético, o prédio foi o primeiro a … As provas (objetivas e discursivas) do processo seletivo de estagiários 2021 serão realizadas no dia 05 de dezembro de 2021(domingo), das 8h. Hier sollte eine beschreibung angezeigt werden, diese seite lässt dies jedoch nicht zu. Toalha De Mesa De 1,60 Metro Ponto Cruz Bordados Do Ceará from http2.mlstatic.com Hier sollte eine beschreibung angezeigt werden, diese seite lässt dies jedoch nicht zu. As provas (objetivas e discursivas) do processo seletivo de estagiários 2021 serão realizadas no dia 05 de dezembro de 2021(domingo), das 8h. De estilo eclético, o prédio foi o primeiro a … Ceará sporting club sócio vozão contato faça seu cadastrofaça seu cadastro De estilo eclético, o prédio foi o primeiro ...
Komentar
Posting Komentar